BE CONFIDENT WITH YOUR DIAGNOSIS. TAKE ADVANTAGE OF A SECOND OPINION.
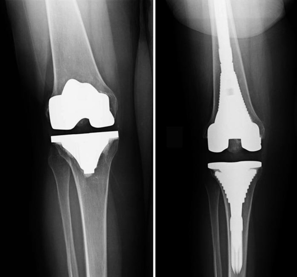
Revision Knee Replacement
Revision Knee Replacement

Introduction

Revision Knee Replacement means that part or all of your previous knee replacement needs to be revised. This operation varies from very minor adjustments to massive operations replacing significant amounts of bone. The typical knee replacement replaces the ends of the femur (thigh bone) and tibia (shin bone) with plastic inserted between them and usually the patella (knee cap).

Why does a knee replacement needs to be revised?

Pain is the primary reason for revision. Usually the cause is clear but not always. Knees without an obvious cause for pain in general do not do as well after surgery.

Plastic (polyethylene) wear – This is one of the easier revisions where only the plastic insert is changed.

Instability – This means the knee is not stable and may be giving way or not feel safe when you walk.

Loosening of either the femoral, tibial or patella component – This usually presents as pain but may be asymptomatic. It is for this reason why you must have your joint followed up for life as there can be changes on X-ray that indicate that the knee should be revised despite having no symptoms.

Infection- usually presents as pain but may present as swelling or an acute fever.

Osteolysis (bone loss). This can occur due to particles being released into the knee joint that result in bone being destroyed.

Stiffness- This is difficult to improve with revision but can

  • Your surgeon will send you for routine blood tests and any other
  • Investigations required prior to your surgery
  • You will be asked to undertake a general medical check-up with a physician
  • You should have any other medical, surgical or dental problems attended to prior to your surgery
  • Make arrangements for help around the house prior to surgery
  • Cease aspirin or anti-inflammatory medications 10 days prior to surgery as they can cause bleeding
  • Cease any naturopathic or herbal medications 10 days before surgery
  • Stop smoking as long as possible prior to surgery

Day of Surgery

  • You will be admitted to the hospital usually on the day of your surgery
  • Further tests may be required on admission
  • You will meet the nurses and answer some questions for the hospital records
  • You will meet your Anesthetist, who will ask you a few questions
  • You will be given hospital clothes to change into and have a shower prior to surgery
  • The operation site will be shaved and cleaned
  • Approximately 30 minutes prior to surgery, you will be transferred to the operating room

Surgical Procedure

Each knee is individual and knee replacements take this into account by having different sizes for your knee. If there is more than the usual amount of bone loss sometimes extra pieces of metal or bone are added.

Surgery is performed under sterile conditions in the operating room under spinal or general anesthesia. You will be on your back and a tourniquet applied to your upper thigh to reduce blood loss. Surgery takes approximately two hours.

The Patient is positioned on the operating table and the leg prepped and draped.

A tourniquet is applied to the upper thigh and the leg is prepared for the surgery with a sterilizing solution.

An incision around 7cm is made to expose the knee joint.

The bone ends of the femur and tibia are prepared using a saw or a burr.

Trial components are then inserted to make sure they fit properly.

The real components (Femoral & Tibial) are then put into place with or without cement.

The knee is then carefully closed and drains usually inserted, and the knee dressed and bandaged.

Post-operation Course

When you wake, you will be in the recovery room with intravenous drips in your arm, a tube (catheter) in your bladder and a number of other monitors to check your vital observations. You will usually have a button to press for pain medication through a machine called PCA machine (Patient Controlled Analgesia).

Once stable, you will be taken to the ward. The post-op protocol is surgeon dependant, but in general your drain will come out at 24 hours and you will sit out of bed and start moving you knee and walking on it within a day or two of surgery. The dressing will be reduced usually on the 2nd post-op day to make movement easier. Your rehabilitation and mobilization will be supervised by a physical therapist.

To avoid lung congestion, it is important to breathe deeply and cough up any phlegm you may have.

Your Orthopaedic Surgeon will use one or more measures to minimize blood clots in you legs, such as inflatable leg coverings, stockings and injections into your abdomen to thin the blood clots or DVT’s, which will be discussed in detail in the complications section.

A lot of the long term results of knee replacements depend on how much work you put into it following your operation.

Usually you will be in hospital for 3-5 days and then either go home or to a rehabilitation facility depending on your needs. You will need physical therapy on your knee following surgery.

You will be discharged on a walker or crutches and usually progress to a cane at six weeks.

Your sutures are sometimes dissolvable but if not are removed at approximately 10 days.

Bending your knee is variable, but by 6 weeks it should bend to 90 degrees. The goal is to get 110-115 degrees of movement.

Once the wound is healed, you may shower. You can drive at about 6 weeks, once you have regained control of your leg. You should be walking reasonably comfortably by 6 weeks.

More physical activities, such as sports previously discussed may take 3 months to be able to do comfortably.

When you go home you need to take special precautions around the house to make sure it is safe. You may need rails in your bathroom or to modify your sleeping arrangements especially if they are up a lot of stairs.

You will usually have a 6 week check-up with your surgeon who will assess your progress. You should continue to see your surgeon for the rest of your life to check your knee and take X-rays. This is important as sometimes your knee can feel excellent but there can be a problem only recognized on X-ray.

You are always at risk of infections especially with any dental work or other surgical procedures where germs (Bacteria) can get into the blood stream and find their way to your knee.

If you ever have any unexplained pain, swelling, redness or if you feel unwell you should see your doctor as soon as possible.

Risks and Complications

  • As with any major surgery, there are potential risks involved. The decision to proceed with the surgery is made because the advantages of surgery outweigh the potential disadvantages
  • It is important that you are informed of these risks before the surgery takes place

Complications can be medical (general) or local complications specific to the Knee

Medical complications include those of the anesthetic and your general well being. Almost any medical condition can occur so this list is not complete. Complications include

  • Allergic reactions to medications
  • Blood loss requiring transfusion with its low risk of disease transmission
  • Heart attacks, strokes, kidney failure, pneumonia, bladder infections
  • Complications from nerve blocks such as infection or nerve damage
  • Serious medical problems can lead to ongoing health concerns, prolonged hospitalization or rarely death

Local complications

Infection

Infection can occur with any operation. In the hip this can be superficial or deep. Infection rates are approximately 1%. If it occurs it can be treated with antibiotics but may require further surgery. Very rarely your hip may need to be removed to eradicate infection.

Blood Clots (Deep Venous Thrombosis)

These can form in the calf muscles and can travel to the lung (Pulmonary embolism). These can occasionally be serious and even life threatening. If you get calf pain or shortness of breath at any stage, you should notify your surgeon.

Fractures or Breaks in the Bone

Can occur during surgery or afterwards if you fall. To repair these, you may require surgery.

Stiffness in the knee

Ideally your knee should bend beyond 100 degrees but on occasion the knee may not bend as well as expected. Sometimes manipulations are required, this means going to the operating room where the knee is bent for you under anesthetic the knee.

Wear

The plastic liner eventually wears out over time, usually 10 to 15 years and may need to be changed.

Wound Irritation or Breakdown

Surgery will always cut some skin nerves, so you will inevitably have some numbness around the wound. This does not affect the function of your joint. You can also get some aching around the scar. Vitamin E cream and massaging can help reduce this.

Occasionally, you can get reactions to the sutures or a wound breakdown that may require antibiotics or rarely further surgery.

Cosmetic Appearance

The knee may look different than it was because it is put into the correct alignment to allow proper function.

Leg length inequality

This is also due to the fact that a corrected knee is more straight and is unavoidable.

Dislocation

An extremely rare condition where the ends of the knee joint lose contact with each other or the plastic insert can lose contact with the tibia (shinbone) or the femur (thigh bone).

Patella Problems

The Patella (knee cap) can dislocate. This means it moves out of place and it can break or loosen.

Ligament Injuries

There are a number of ligaments surrounding the knee. These ligaments can be torn during surgery or break or stretch out any time afterwards. Surgery may be required to correct this problem.

Damage to nerves and Blood Vessels

Rarely these can be damaged at the time of surgery. If recognized they are repaired but a second operation may be required. Nerve damage can cause a loss of feeling or movement below the knee and can be permanent.

Discuss your concerns thoroughly with your Orthopaedic Surgeon prior to surgery.

Summary

Surgery is not a pleasant prospect for anyone, but for some people with arthritis, it could mean the difference between leading a normal life or putting up with a debilitating condition. Surgery can be regarded as part of your treatment plan it may help to restore function to your damaged joints as well as relieve pain.

Surgery is only offered once non-operative treatment has failed. It is an important decision to make and ultimately it is an informed decision between you, your surgeon, family and medical practitioner.

Although most people are extremely happy with their new knee, complications can occur and you must be aware of these prior to making a decision. If you are undecided, it is best to wait until you are sure this is the procedure for you.

Related Topics

logo